0269 220 502

0755 159 149

Sibiu, Calea Turnisorului 47

O zi fara zambet e o zi pierduta!

Servicii stomatologice profesionale

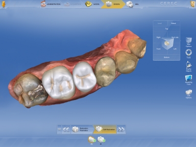
CEREC - Ceramica intr-o sedinta

(CEramic REConstruktion)
Pentru a fi cat mai aproape de o estetica naturala a dintilor si a gingiei este necesara o metoda inovativa. Cerec foloseste tehnica CAD/CAM (Computer Aided Design/ Computer Aided Manufacturing). Pentru realizarea coroanelor dentare, incrustatiilor si a fatetelor este necesara scanarea cu ajutorul camerei intraorale 3D. Datele digitale obtinute sunt prelucrate, fara pierdere de timp, direct in cabinet. Datorita tehnololgiei moderne de slefuire, din cuburile integral ceramice cu diferite nuante, sunt frezate restaurariile proiectate pe calculator, dupa care pot fi cimentate definitiv in aceeasi sedinta.

Implante/Augmentare

Un implant este o radacina dentara artificiala. Aceasta inseamna ca un dinte poate fi inlocuit printr-un implant, oferind astfel pacientului anumite avantaje. Nu este necesara slefuirea unui dinte sanatos pentru a realiza o punte dentara. Lipsa substantei osoase care se produce in urma extractiilor poate fi prin aceasta metoda evitata. Dintele artificial nu va putea fi deosebit de cei naturali.
Printr-o interventie chirurgicala sub antestezie locala se insereaza implantul in maxilar/mandibula. Dupa o perioada de vindecare, care poate dura pana la sase luni, se va insera pe implant lucrarea protetica dorita. Acest tratament este posibil la aproape toti pacientii, iar succesul tratamentului este in medie de 98%, implantologia numarandu-se astfel printre cele mai sigure forme de tratament in stomatologie.

Stomatologie estetica

Tehnicile si materialele cele mai moderne fac astazi posibil pana si cele mai mari defecte coronare sa fie reconstituite estetic si functional. De asemenea pot fi corectate optic si anumite defecte naturale fara a distruge din substanta dentara. Cele mai moderne materiale si combinatiile cele mai bune de culori fac ca dupa tratament dintii sa arate natural.

Fatete dentare

Sunt fatetele ceramice aplicate printr-o procedura adeziva pe coroanele dentare fracturate, sau cu defecte prin lipsa de substanta de catre medicul dentist. Cu aceasta metoda esta posibil ca dintii cu defecte de marime sau forma sa primeasca o forma optica mai placuta.

Stomatologie pediatrica

Tratamentul cel mai bun aplicat copiilor este tratamentul preventiv. Prin tratament preventiv modern, intelegem oferirea explicatiilor exacte si la timp parintilor, explicatii referitoare la conceptul de carie dentara ca si boala infectioasa precum si riscurile de transmitere la nou nascuti. Prin explicatii suficiente date parintilor si prin control preventiv la copii, se poate evita aparita cariilor la dintii temporari. La fel de importante precum explicatiile referitoare la complicatiile cauzate de cariile dentare, sunt si urmatoarele lucruri: demonstratii asupra modului corect de periaj al dintilor, alimentatia corecta prin dozarea si controlul carbohidratilor pot deasemenea preveni aparitia cariei dentare.
"Chiar daca procedura terapeutica a fost perfecta sedinta este un esec, atunci cand copilul pleaca cu lacrimi." -Melroy

Igienizare profesionala

Coloratile si depunerile de tartru reprezinta un defect optic si sunt o zona de aderare, atragere a placii bacteriene care in timp, duce la formarea cariei dentare si a parodontozei.
In acest caz, noi va oferim o igienizare profesionala in cadrul unui tratament profilactic: Detartraj mecanic cu ultrasunete, Air-flow (jet de apa, aer si tricarbonat de sodiu sub presiune), periaj mecanic si, dupa caz, chiuretaj gingival. Aceasta preventie duce si la o usoara albire a dintilor.

Bijuterii dentare

Este o moda (un trend) ca zambetul sa fie accentuat cu o bijuterie dentara. Pot fi folosite in acest scop placute de aur, diamante sau simple pietricele cosmetice. Alegerea va apartine dumneavoastra. Obiectul dorit va fi aplicat de catre medicul dentist. Dintele respectiv va fi curatat profesional si demineralizat pe suprafata care va primi bijuteria dentara. Dupa o dezinfectie a bijuteriei aceasta va fi aplicata cu un sistem special adeziv pe dintele respectiv. Se poate aplica si pe o obturatie existenta.

Radiologie - Computer tomograf 3D CBCT

Inca din 1948 Cheyne si Horne au constatat ca aprox. 30% din cariile dentare existente nu puteau fi depistate fara ajutorul radiografiilor intraorale. Este un aparat utilizat pentru stabilirea unui diagnostic corect, promt al afectiunilor dento-alveolare, folosit de asemenea in tratamentul endodontic. Radiografiile sunt ecranizate pe un monitor Widescreen astfel incat va putem oferi detalii importante despre tratament.

Computer tomograf 3D CBCT

Radiografiile panoramice 2D, cefalometriile si imagistica 3D sunt esentiale pentru un diagnostic reusit. Cabinetul este dotat cu un centru complet de radiologie dentară, astfel nu mai trebuie sa faceti drumuri suplimentare pentru radiografii.

Protetica/Laborator dentar

Lucrari protetice de cea mai inalta calitate, lucrari protetice combinate/implante, metalo-ceramice, fatetari (veneers), inlay-onlay, coroane dentare, punti dentare, aliaje aur, coroane integral ceramice.

Endodontie mecanica

Inovatia de ultima ora pentru un tratament eficient si rational al coroanelor dentare. La prepararea canalelor dentare sunt utilizate ace mecanice din nichel-titan, Apex Locator, cu ajutorul caruia se determina lungimea exacta a canalului dentar si a pozitiei apexului. Avantaje: siguranta, calitate, perfectiune.

Tratament anti-aging

Pentru un efect deplin, dintii frumosi au nevoie de o incadrare frumoasa. Din acest motiv, in stomatologia estetica nu este neglijat aspectul facial. Mai ales ridurile din regiunea fruntii, din jurul ochilor sau ale cavitatii bucale, pot fi, cu ajutorul unor interventii mini-invazive, facute sa dispara. Cosmetica medicala a realizat in ultimii ani progrese insemnate oferindu-ne astazi nenumarate posibilitati de a lupta impotriva ridurilor.

Colagen - Acid hialuronic
Cu timpul, pielea incepe sa piarda din elasticitate. Unul dintre motive fiind pierderea colagenului.

Tratamente de albire

"Dinti albi, stralucitori in numai o sedinta"

Este un procedeu non-invaziv de indepartare a coloratiilor dintilor. Albirile sunt efectuate pe orice dinte natural si sanatos. Inaintea albirilor este recomandata o igienizare profesionala.

"In-office-Bleaching" este posibil ca in mai putin de o ora, cu ajutorul unei surse de lumina speciala LED (SDI radii plus) sa se ajunga la efectul dorit. Dintii devin garantat pana la cateva nuante mai albi, efectul fiind vizibil pe o durata de 2-4 ani.

Laser stomatologic

Laserele moderne sunt utilizate intr-o gama larga terapeutica care include chirurgie pe tesut moale, indepartarea pungilor parodontale, sterilizarea canalelor radiculare, prepararea dintilor pentru restaurari, implantologie, etc. Tratamentul, in mod normal, este lipsit de durere iar sangerarile sunt reduse. Vindecarea decurge rapid și este mult mai placuta atat estetic cat si functional.

Microscop Zeiss

In practica stomatologica microscopul a redefinit conceptul de vizualizare si control al manoperelor, cu o rata de succes crescuta, in special in practica endodontica. Magnificarea asigura precizie superioara si permite tratamentul unor cazuri de o dificultate crescuta. De asemenea atasarea de sisteme foto-video de calitate HD la microscop permite implicarea pacientului in explicarea si etapizarea tratamentului, procesul fiind ecranizat on-site.