0269 220 502

0755 159 149

Sibiu, Calea Turnisorului 47

A smileless day is worthless!

Professional dental services

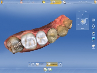
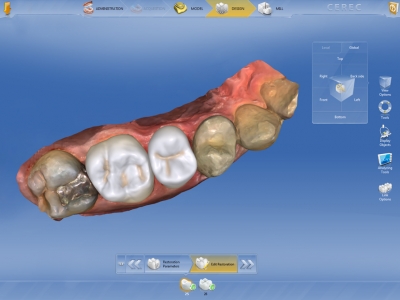
CEREC - Pure ceramics in just one session

((CEramic REConstruction))
In order to get closer to the natural aesthetic of the teeth and gums, an innovative method is required. CEREC implies CAD / CAM technology (Computer Aided Design / Computer Aided Manufacturing). To create dental crowns, veneers, in- and onlays a 3D intraoral scanning is required. The digital data obtained are processed in time, directly in our clinic. Due to modern technology, ceramic cubes with the appropriate color get through a precise milling process in order to obtain the equivalent of the one designed by computer. Further on, they can be permanently cemented during the same session.

Implants/Augmentation

An implant is an artificial dental root. This means that a tooth can be replaced by an implant, thus providing certain advantages to the patient. There is no need to polish a healthy tooth to make a dental bridge. The lack of bone substance that occurs after the extraction can be successfully avoided by this method. Between the artificial tooth and the natural one there will be no differences.
Through surgery, which also implies a local anesthesia, an implant is inserted in the jaw / mandible. After a period of healing that can take up to six months, the desired prosthetic implant will be inserted. This treatment is possible in most cases and the success of treatment is averagely 98%, the implant becoming one of the safest forms of treatment in dentistry.

Aesthetic dentistry

The most modern techniques and materials represent the basis of a technology which provides the chance to reconstruct both aesthetically and functionally even the greatest coronary defects.
There can also be optically corrected certain natural defects without damaging the dental substance. The most modern materials and the best color combinations make teeth look natural after the treatment.

Veneers

Ceramic veneers are applied by your dentist through an adhesive procedure on a broken (or defective by the lack of substance) dental crown. Using this method, teeth with wrong size or shape can get an enjoyable optical form.

Pediatric stomatology

The best treatment applied to children is the preventive one. Modern preventive treatment actually refers to giving parents accurate and on-time explanations, statements on the concept of dental caries as infectious disease and the risks of transmission to small children. Equally important as explanations for the complications caused by dental caries are the following aspects: demonstrations of correctly brushing teeth, eating healthy and controlling the dosage of carbohydrates (they may also prevent tooth decay).
"Even if the procedure was the perfect therapy, session is a failure when the child leaves with tears." - Melroy

Professional cleaning

Stains and tartar deposits are not only an optical defect, but the effect of accession to attract plaque, which (in its turn) leads to the formation of dental caries and periodontal disease.
In this case, we offer a professional teeth cleaning in a prophylactic treatment. Scaling mechanical, using contact anesthesia, or for anxious patients - local anesthesia, gingival curettage if necessary, professional mechanical brushing, air-flow (tricarbonat sodium, water jet).
So, dental plaque and deposits are quickly and painlessly removed. This method is effective for external teeth stains caused by nicotine consumption, tea, coffee, red wine, etc.

Dental jewelry

To have the smile emphasized with a teeth jewel is a trend. In this respect, there can be used plates of gold, diamonds or simple cosmetic pebbles. The choice is yours. The desired object will be applied by your dentist. The tooth will be professionally brushed and the surface that will receive dental jewelry will be demineralized. After cleaning the the jewel, it will be applied with a special adhesive on tooth. It can also be applied on existent root.

Radiology - 3D X-ray CBCT

Since 1948 Horne and Cheyne and have reached the conclusion that nearly 30% of existing dental caries couldn’t be detected without using intraoral radiography. It is a device used to establish a correct diagnosis, locate dento-alveolar diseases and it´s also used in endodontic treatments.
X-Rays are presented in digital format on a Widescreen display so that we can give you essential information about the treatment.

Computed tomography scan

Cephalometry, 2D panoramic and 3D radiography play a significant role in establishing a successful treatment. Our clinic is equipped with a high end radiology center saving you time and additional journeys to obtain them.

Prosthetics/ Dental laboratory

Prosthetic constructions of the highest quality, combined prosthetic devices / implants, metal-ceramic, veneers, inlays, onlays, crowns, bridges, gold alloys, pure ceramic crowns.

Mechanical endodontics

It is the latest innovation for a rational and effective treatment of dental crowns. In preparing root canals we use Nickel-Titanium mechanical needles, ApexLocator, by which the exact length of the root canal and position of apex are determined. Advantages: safety, quality, perfection.

Anti-aging treatment

For a full enjoyment, beautiful teeth need a beautiful framed. For this reason, cosmetic dentistry does not neglect facial appearance. The wrinkles, especially in the region of forehead around the eyes or mouth, can be made to disappear using mini-invasive surgery. Nowadays, beauty care has made important progress in recent years giving us many opportunities to fight against wrinkles.

Collagen - Hyaluronic Acid
In time, skin begins to lose elasticity. One of the reasons - the loss of collagen.

Whitening treatment / Bleaching

"Whiter and brighter teeth in just one session"

It is a process of removing teeth stains. Bleaching is performed on any healthy tooth, without caries. For a maximum effect, before a whitening treatment we recommend a thorough professional cleaning.

"In-office bleaching" is possible in less than an hour, with a special LED light source to reach the desired effect. Healthy teeth can become up to several shades whiter, guaranteed.

Laser dentistry

Lasers are used in surgical procedures like: root canal treatments, implantology, and gum diseases. Treatments with a dental laser have many benefits over traditional methods. These include: low-pain, less bleeding, surrounding tissue is being damaged significantly less compared to conventional interventions, effective protection against infection, fast wound healing and little postoperative pain or swelling.

Surgical Microscope

The high-performing Zeiss OPMI® pico offers solid support for the most demanding applications – whether in restorative dentistry, endodontics, implantology or periodontics. It enables us to better visualize the regions of interest and consistently provide you with high-quality examinations and treatments. The microscope can accommodate a full HD video camera, allowing us to present patients with high-definition material to explain procedures.