0269 220 502
0755 159 149
Sibiu, Calea Turnisorului 47
RO
DE
EN
Über uns
Praxis
Praxisteam
Partner
Fallstudie
Kosten
Kontakt
Zahnimplantate
CEREC Vollkeramik in einer Sitzung
Ästhetische Füllungen
Veneers / Facetten
Maschinelle Endodontie
Zahnersatz / Zahntechniklabor
Professionelle Zahnreinigung
Röntgenaufnahme – 3D Computertomographie
Zahnaufhellung / Bleaching
Zahnschmuck
Kinder - Zahnheilkunde
Faltenbehandlung
Laserzahnmedizin
Mikroskop – Zahnheilkunde
Ein Tag ohne Lächeln ist ein verlorener Tag!
Fallstudie
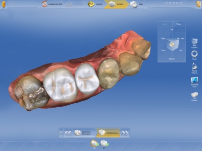
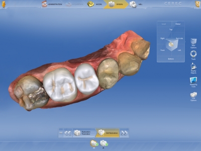
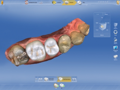
Inlay-Onlay
Vor
Nach
Zwischen
Vor
Nach
Zwischen
Vor
Nach
Zwischen
Vor
Nach
Zwischen
Vor
Nach
Zwischen
Vor
Nach
Zwischen
Vor
Nach
Zwischen
Vor
Nach
Zwischen
Vor
Nach
Zwischen
Vor
Nach
Zwischen
Vor
Nach
Zwischen
Vor
Nach
Zwischen
Vor
Nach
Coroane/Crowns
Vor
Nach
Zwischen
Vor
Nach
Zwischen
Vor
Nach
Zwischen
Vor
Nach
Zwischen
Vor
Nach
Zwischen
Vor
Nach
Zwischen
Vor
Nach
Zwischen
Vor
Nach
Zwischen
Vor
Nach
Zwischen
Vor
Nach
Vor
Nach
Zwischen
Fatete/Veneers-Coroane frontale
Vor
Nach
Vor
Nach
Vor
Nach
Vor
Nach
Vor
Nach
Vor
Nach