0269 220 502

0755 159 149

Sibiu, Calea Turnisorului 47

Ein Tag ohne Lächeln ist ein verlorener Tag!

Über uns

Qualität,Perfektion, Ästhetik

Die moderne Zahnmedizin bietet heute eine Vielzahl von verschiedenen Therapien, die ein schönes Lächeln für nahezu jeden Menschen möglich machen. Unser Lächeln ist unsere Visitenkarte und auch manchmal eine Eintrittskarte für eine neue Partenerschaft, einen neuen Job oder einfach nur für neue soziale Kontakte.


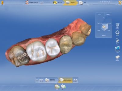
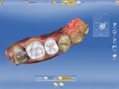
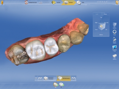
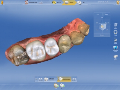
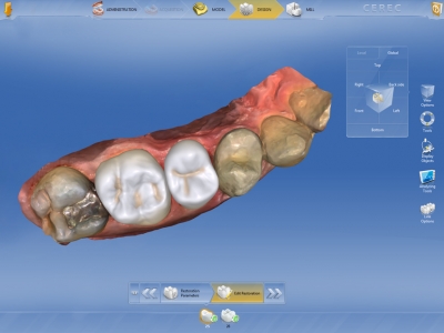
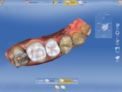
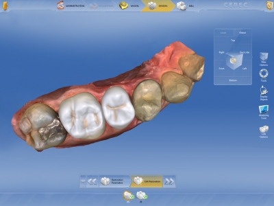
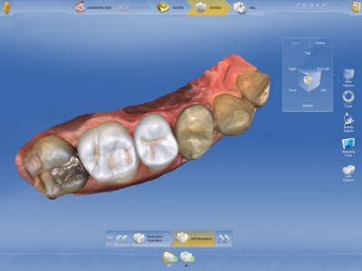
Vollkeramik in einer Stunde!

Haben Sie schon gewusst…?

Das Verlangennach Ästhetic ist kein Zeitgeist des 21 Jahrhunderts.
Bereits George Washinton, der erste Präsident der Vereignigten Staaten von Amerika, der im Alter vom 40 Jahren nur noch einen Zahn im Unterkiefer hatte, trug in der Öffentlichkeit einen Zahnersatz aus Holz und Elfenbein.

Wir warten auf Sie!